terça-feira, 21 de março de 2017

Cérebro de adeptos de futebol mostra sinais de “amor romântico”

A claque da Académica, Mancha Negra


Cientistas da Universidade de Coimbra estudaram o cérebro de adeptos das claques oficiais da Académica e do Futebol Clube do Porto. Quando vêem o seu clube, os adeptos activam circuitos cerebrais semelhantes aos do amor.

Se olharmos para um adepto de futebol que vê o seu clube em campo, podemos ver comportamentos excessivos, gritos, choro, explosões de alegria, uma mistura entre amor tribal e fanatismo. Se, por outro lado, olharmos para os circuitos do cérebro desse mesmo adepto, comprovamos que não estamos longe da verdade. Um estudo baseado em imagens cerebrais realizado por uma equipa de cientistas da Universidade de Coimbra concluiu que alguns dos circuitos cerebrais activados em elementos das claques de futebol da Académica (os Mancha Negra) e do Futebol Clube do Porto (os Super Dragões) são semelhantes aos que o “amor romântico” desperta.
Ao longo de três anos, os investigadores do Instituto de Ciências Nucleares Aplicadas à Saúde da Universidade de Coimbra (UC) “estudaram o cérebro de 56 adeptos, na sua maioria das claques oficiais da Académica e Futebol Clube do Porto, cujo nível de paixão foi avaliado através de scores de avaliação psicológica”, refere um comunicado da UC divulgado esta segunda-feira sobre o estudo publicado na revista Social Cognitive and Affective Neuroscience. Os participantes na investigação – 54 homens e duas mulheres, com idades entre 21 e 60 anos – foram “expostos a vídeos emocionalmente intensos, quer positivos (por exemplo o golo de Kelvin contra o Benfica no caso dos adeptos do FCP) quer negativos ou neutros”.
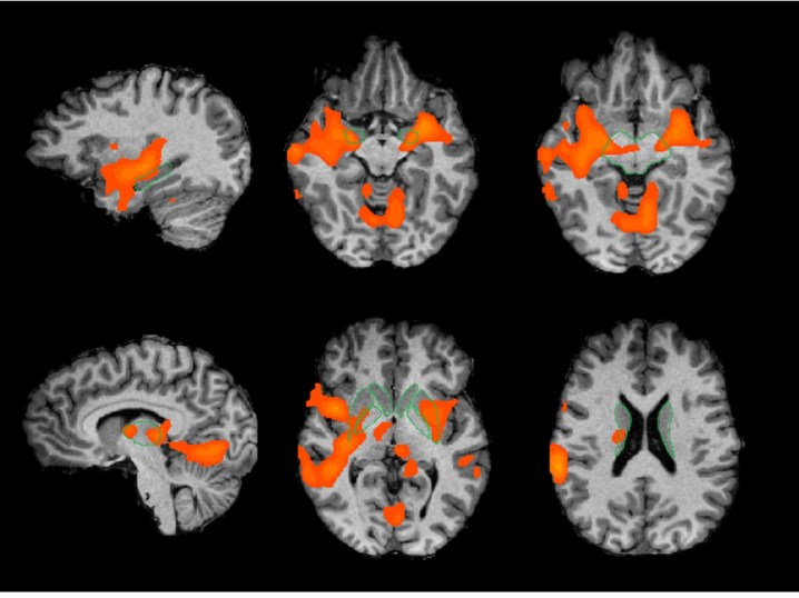
“Foi observada a activação de circuitos cerebrais de recompensa que são semelhantes aos que são activados na experiência do amor romântico”, afirma Miguel Castelo Branco, coordenador deste estudo sobre o “amor tribal” no futebol. Na investigação, explica ao PÚBLICO, foram usadas escalas validadas por psicólogos para estudar o grau do que se chama “fanatismo”. Mas, sabendo que esta palavra tem uma conotação negativa, Miguel Castelo Branco prefere chamar-lhes simplesmente “escalas de paixão pelo futebol”. Basicamente, há zonas do cérebro – como a amígdala, o núcleo accumbens e outras zonas que libertam dopamina, uma substância química do cérebro – que têm a ver com os circuitos da memória emocional e da recompensa. “São zonas que se activam tanto mais quanto mais fervoroso é o adepto”, diz Miguel Castelo Branco.
PÚBLICO - 
Zonas cerebrais significativamente activas nos adeptos de futebol marcadas a laranja DR
 
Algumas destas regiões são as mesmas que o amor romântico activa, mas não todas. “A amígdala, por exemplo, é uma das regiões que têm um padrão ligeiramente diferente. Conseguimos ver uma correlação da actividade da amígdala com a paixão clubística, mas não há achados semelhantes no amor romântico”, nota o investigador, que adianta ainda que esta área “se activa muito mais” com o estímulo do futebol. “Isto pode até, perigosamente, sugerir que estes adeptos sentem mais pelo clube do que numa situação de amor romântico”, comenta. Já no que o que se refere às regiões que libertam dopamina (como a área tegmental ventral, o putâmen e a substância negra), os sinais cerebrais são muito semelhantes aos que encontramos no “amor romântico". 
 
Os cientistas perceberam também que os circuitos de memória emocionais são mais recrutados pelas experiências positivas do que pelas negativas. O que quer dizer que um golo da nossa equipa desperta mais estas regiões no cérebro do que um golo do adversário. “O cérebro está feito para dar mais valor às emoções positivas e esquecer as negativas. Mesmo nestes adeptos fervorosos. E isso acaba por ser uma boa notícia, porque sugere que o nosso cérebro está, de alguma forma, protegido”, constata Miguel Castelo Branco. Há, assim, um lado positivo neste “amor tribal” (já descrito do ponto de vista antropológico pelo britânico Desmond Morris) que nos mostra que o cérebro terá mecanismos de apagar as más memórias que podem conduzir ao “ódio tribal”.“
 
Guerra dos Sexos
 
E será que há diferenças entre o fervor de um elemento da Mancha Negra e dos Super Dragões? “Neste estudo não encontrámos diferenças. Estamos a tentar perceber se o estatuto sócio-económico, o grau de expectativa e o número de anos de sócio são variáveis que têm influência”, adianta ao PÚBLICO. E, tendo em conta que entre os participantes no estudo há duas mulheres, foram detectadas diferenças entre géneros? “Não podemos tirar grandes conclusões sobre o género porque são só duas mulheres. Nesta fase, procurámos olhar para o que é comum nestes adeptos e observámos que as mulheres têm um padrão similar ao dos homens.
 
E, por falar em participantes nesta investigação, note-se que houve “dois cartões vermelhos” neste trabalho. Duas pessoas que inicialmente estavam incluídas no grupo de adeptos acabaram por ser excluídas. Um era um treinador de futebol e outro um jogador e o argumento para a “expulsão” foi o facto de serem demasiado racionais e terem uma visão demasiado técnica do jogo.

Miguel Castelo Branco não pertence a nenhuma claque que futebol, mas gosta deste desporto. “Devo-lhe confessar que sou adepto de futebol”, diz, admitindo uma “motivação extracientífica”. E torce por quem? “Pelo Académica e pelo Porto, pelos dois”, revela, adiantando que chegou a sentir-se tentado a “espreitar” os circuitos do seu cérebro que, quem sabe, poderiam revelar imagens interessantes perante um confronto entre as duas equipas. Mas mais do que qualquer motivação pessoal, os cientistas procuraram perceber melhor os mecanismos do amor tribal.

Miguel Castelo Branco avisa que a investigação que olhou para os circuitos cerebrais de elementos de claques de futebol é só um primeiro passo de um projecto mais abrangente que tem a ver com o processo de tomada de decisão. “Temos um projecto a que chamamos de ‘Guerra dos Sexos’ que é mais abrangente e este é só o primeiro estudo. Queremos estudar o processo de tomada de decisão”, diz o coordenador do estudo. “As emoções em excesso muitas vezes levam à perda de racionalidade e isso é algo que nos interessa.” E se há actividade humana em que as emoções são muito fortes, o futebol é seguramente uma delas.

Os adeptos foram estudados enquanto viam jogadas positivas e negativas. Esse foi um simples primeiro passo. Agora, terão pela frente desafios mais complicados. Vem aí a etapa dos “dilemas”, anuncia o investigador. É hora de tomar decisões quando forem confrontados com a questão: “Prefere ir assistir a um jogo de futebol ou ir ao cinema com a sua mulher?” E não vale dizer que se escolhe os dois programas em horários diferentes. 
----------
 Reportagem por

Nenhum comentário:

Postar um comentário